Dispatch from the War on COVID-19 [UPDATE-1]
[Check the byline, thanks. Update at the bottom. / ~Rayne]
If you’re a regular here you know I don’t like to share stuff from Fox or affiliates. But local station Fox5NY picked up and republished a video online I haven’t been able to capture elsewhere. It’s extremely important.
She isn’t the only nurse we’ve heard from here in Michigan about the “war zone” in which they now work. I shared a link earlier today in a previous post; I’ll share it as an embed here so you can hear these health care workers back to back.
View this post on Instagram
Dear Family, Friends and Complete Strangers, Please STAY HOME!! Love, an ER Nurse
Now, a word to Sen. Lindsey Graham who denigrated nurses because of the possibility they may collect $24 an hour on unemployment.
Senator Graham:
Nurses are degreed professionals who not unlike lawyers must pass a state licensing test and earn continuing education credits on top of their regular job. The ICU nurse has had very specific training as has the ER nurse; both have likely had to add more training to cross over to do the jobs they’ve performed this week.
They are our foot soldiers in the war on COVID-19. We will not have enough of these soldiers because they will get sick from a combination of exposure to high viral loads, especially when they don’t have adequate protection, and from the heightened, sustained stress of this pandemic war.
They do not deserve your disrespect. These professionals will treat every patient as someone worthy of their efforts. They will do their level best to save whomever they can provided they have the resources. The least you can do is treat them with the same respect they’d treat you as a patient. For all you know you will find yourself sick with this virus and you’ll be on the business end of one of these professionals who are in such high demand there won’t be any unemployed nurses in this country for more than a year.
Get over yourself, Graham. And stop taking social cues from that rude, nasty cretin in White House. Your friend McCain would be ashamed of you if he were still alive.
To whoever is bashing Governor Whitmer about her performance, a word:
Just like these health care workers who are pleading for supplies, so has Whitmer pleaded for assistance. Her constituents in the state of Michigan deserve all the services they’ve funded their federal government to provide. They are already getting what the state of Michigan can provide because Whitmer is ensuring this happens.
You cannot hide the fact that the federal reserve for supplies should have been ordering and collecting materials in January after China told WHO that a novel coronavirus posed a pandemic risk. Attacking Whitmer won’t change the fact that it is the federal government, directed ultimately by the president, which was responsible for detecting pandemic risk and responding proactively to it, informing states of the risk as early as possible.
That didn’t happen and now governors like Whitmer are forced to do both the job their states have elected them to do and more, taking responsibilities which belong to federal agencies, while Trump denies states the Honest Services they are entitled to because he has not received some sign of obeisance.
To use an aphorism well-known former Michigander Lee Iacocca enjoyed, “Lead, follow, or get out of the way.” Bashing Governor Whitmer is none of those things. Pick one of the three.
To everyone else: pay heed to what these health care workers are saying. Overall mortality will go up, not just from COVID-19, because first responders will be overwhelmed by both the demands this virus places on our systems, and by illness and death as their own ranks are infected and sickened. Stay home. Keep your distance. Heighten your hygiene practices to reduce risk of infection. Wash your hands. Help your loved ones, friends, community as best you can.
To health care workers and all other first responders: do the best you can. That’s all we can ask of you. If the best you can do is allow someone you cannot save to die in peace, so be it. We should have done more for you before this war began.
And someone should have told us all when that war started instead of lying to us until it was nearly too late.
UPDATE-1 — 7:00 P.M. ET —
I am suitably chastened by this video by a doctor at Emory:
[BREAKING NEWS]
This doctor identifies the mistake the frontliners are doing in handling #COVID19 – they must stay home!
You MUST watch. pic.twitter.com/w0LrmezEh1
— Beni Rusani (@DrBeniRusani) March 28, 2020
YOU are the frontline, the foot soldiers. What you do during this period of necessary social distancing makes the difference counted in lives. We may have to be patient longer because we didn’t start early enough, but our loved ones, friends, their futures depend on it.
And the lives of health care workers also rely on us. We’ve lost a number of nurses and doctors, people like these women in these videos. We can’t afford to lose more.




That top video is two days old, first recorded and published on March 25.
It’s only gotten worse.
I am horrified at the description of keeping an N95 mask in a paper bag and taking it home — it has to be chock full of virus, putting their household at risk of exposure.
And gloves. We haven’t talked about gloves but you have to know there’s a shortage coming because everyone is talking about masks and ventilators but not gloves.
I know Gov. Whitmer has asked for everything they need but we the people have to be ready to step into the gaps.
Would the N95 mask be damaged by saturating with alcohol then allowing to dry out? I wonder. Not sure what the filtering element is composed of, it may not be soluble in isopropyl alcohol.
They filter via redirection of air flow and electrostatic charge rather than a pore. It’s HEPA filter material and generally wet does bad things to HEPA. But desperate times. I would use accelerated H2O2 (common hospital disinfectant) rather than alcohol.
You might be interested in these projections. They basically say we’re going to get hammered in April, then it will taper in May, and the clouds will start to clear June.
https://covid19.healthdata.org/projections
You might also find these links interesting:
https://www.visualcapitalist.com/7-best-covid-19-resources/
And the links at the top of this post:
https://da-data.blogspot.com/2020/03/tolerating-two-years-of-pandemic-in-no.html
To you and your loved ones: Be safe, and best wishes making it through this pandemic
There will be no clearing if there isn’t consistent and thorough application of social distancing. Already wrote that in a post two days ago; if one state does it right but neighboring states don’t, it all goes out the window when the Stay Home order is lifted and a truck crosses the state line or a plane lands in an airport.
This is one more thing Trump fucked up — Shelter-in-place/Stay Home order should have been an executive order nationwide for one month but he was too selfish/too stupid/too arrogant to do it.
EDIT: And we’d better fucking learn something from 1918. ~smh~

We keep hearing that the virus will recede once the weather warms up – but the virus is rampant in Bangkok right now – and it’s in the mid-90s during the day.
From Thai open-sources:
https://thethaiger.com/coronavirus/bangkoks-five-surrounding-provinces-also-enforce-closures-supermarkets-stay-open
Yeah, I’m beginning to read expert sources that say they’ve determined that’s not going to happen, at least not appreciably.
Thank you for sharing that. We do not have enough studies and data yet about the conditions in which this virus thrives. The recent study checking virus survival on surfaces used aerosolization; the virus hung in the air for 3 hours, remaining viable. In a place like Bangkok with a lot of traffic movement, the virus could not only hang but move.
Study: Aerosol and Surface Stability of SARS-CoV-2 as Compared with SARS-CoV-1
March 17, 2020
DOI: 10.1056/NEJMc2004973
https://www.nejm.org/doi/full/10.1056/NEJMc2004973
I have some concerns about the Seattle based IHME “black box” model https://covid19.healthdata.org/projections.
It projects NY will only need 4147 intrusive ventilators confidence interval ( 1783,10340). while having an mean projected ICU shortage 9 times the 718 available ICUs. The “peak resource” take away advertised is peak of the mean of only hospital beds. Not the peak use of ICUs, nor the peak use of ventilators, nor the worst case confidence interval for those resources.
A model like this could be used in the battle of the ventilators. Not to mention only the mean predicted results are presented at the top instead of the mean plus the confidence interval. Anyone running with any model without the confidence intervals as unbiased or biased as they may be is short a few cards in the deck.
Cuomo put it pretty well, he is driven by the hard data trends not by the models.
This model mean predicts MI is already out of ICUs even if they were all for Covid-19.
There are a lot of people smarter than I am that can figure this out, so just a warning about any models.
Comment on failure of state governors to enact essential work definitions to keep the work force safe to follow.
If they could get like four N95 masks per staff member, they could use one per day and let them rest and give the viruses time to die, before the next time they have to use the same mask.
72 hours. They really need five masks each to ensure they each had 72 hours per mask. Also seriously need to look at the NaCL solution process to increass effectiveness of reusable masks.
Has anyone heard anything else about mask re-sterilization? This is from Dr. Mark Smith’s daily update at New York Presbyterian(3-25):
“In our larger environment, mask resterilization has progressed rapidly through theory to practice and appears poised to handle a remarkably large number of masks/day with a dry-heat method. As I understand it, this includes N95 masks.”
https://columbiasurgery.org/news/covid-19-update-32520
Yes, I’ve been saying privately for a couple of days that I think the safest way to “re-sterilize” an N95 would be for it to hang from the mirror in an empty car on a sunny day. Here in Florida, just a couple of hours would do the trick nicely. The 140-150F that a car hits should sanitize without doing harm to the filter material. I worry that even in an oven on “warm”, 200 or so might start to be problematic. Would love to know what temp Columbia uses.
Some heat related info. It is based on SARS as most assumptions are at this point.
https://www.bbc.com/future/article/20200317-covid-19-how-long-does-the-coronavirus-last-on-surfaces
There is also the issue of the shelf-life and heat tolerance of the rubber straps. I reuse N95 masks during the fire season in So Cal due to asthma; if I’m not careful in removing and redonning the masks, the straps tend to wear down very quickly.
That makes sense. Since NY isn’t hot enough to do that naturally right now (and reports of medical staff being told to take N95’s home in paper bags has my eyebrows raised) I wonder if they couldn’t set up some sort of “kiln” in the hospital or in a truck outside using full spectrum lamps and elevated temperatures.
Duke University has found that vaporized hydrogen peroxide is useful in sterilizing N95 masks. Has also shown it effective.
https://techcrunch.com/2020/03/27/duke-university-uses-vaporized-hydrogen-peroxide-to-clean-n95-face-masks-for-reuse/
Vaporized hydrogen peroxide and its vaporizing equipment is used to decontaminate bioweapon contamination. It is a well known method. There are likely many army units suitably equipped and trained, couldn’t they be mobilized for this national emergency and help larger hospitals in hot spots with decontaminating masks and other equipment. That would free health care staff to tend to patients.
Appeal to the hobbyists, woodworkers, who use the n95 masks.
Why can’t the US Postal Service do a mass collection drive for PPE across the country? They’ve done annual food drives where I live. They could do it for PPE.
The problem with some of those is the exhalation vent front and center which would do nothing to keep droplets from exiting the mask. Not sure if those would even be allowed in a hospital setting, despite the N95 rating. Mine are all used by now, I keep them rotating, washing them with hand soap and drying for several days.
The vent may force exhalation to do a 90-degree turn to get out – much harder for droplets.
Hot glue gun. Not elegant, but…
Yep. (I used one to glue some largish plastic beads to my phone, to get the handset properly settled.)
Years on, many of the heroes we remember from 9-11 are the first responders. These two vignettes bring the next wave of heroes into focus.
Physicians are often in the spotlight, and some already are being recognized for their sacrifices. Less visible are members of the care team whose contributions are equally if not more important. As elucidated here, the nurses.
But we shouldn’t forget all of the other individuals who help out, right down to that individual that is emptying the trash and mopping the floors in our health facilities.
Thanks Rayne.
My friend, a physician’s assistant at Emery Hospital text 20 minutes ago:
It is bad. We had 7 COVID ICU admits / 24hrs and 2 died.
Be safe!!!
Oops correction, Emory Hospital in Atlanta, GA.
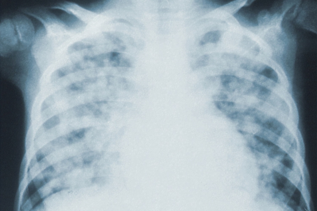
The ‘broken glass’ chest xray on the home page gives me pause. My son recently had an x-ray and now his doctor wants to reevaluate him for Covid19, Valley Fever (its Phoenix), and another ailment. Though most of his virus symptoms have cleared his breathing capacity is not returning. And he is young, a non-smoker, and works out several times a week, very fit. His first Covid19 test was negative, but he said the technician was fumbling in administering the swab and she and the Dr. seemed nervous. Perhaps their first such involvement.
That this administration failed the nation by inaction, lies and malfeasance and continue to do so will live in infamy.
Unfortunately, COVID-19 can do damage to the lungs. we don’t yet know if the damage will heal over time or if it’s permanent. This
Your son definitely needs an antibody test to determine if he had COVID-19 if he doesn’t still have an active infection. It will tell more about the kind of damage he may have. He should also find someone to make him reusable fabric masks to wear for both his and others’ protection, in case he’s still contagious.
I’m not a health care professional, only able to give you a layperson’s opinion here, but this is why I am very concerned for myself as I have pre-existing lung damage and really can’t afford what COVID-19 could do, let alone find myself refused anything beyond palliative care because we’ve run out of resources in Michigan.
Thanks Rayne, yes I had read a while ago about lung damage. Advised son. Once antibody test is available I am sure he will get one. AZ seems to be rationing tests, as Dr. didn’t do a second (trigger symptoms like fever had passed). Chronic, big problem: not enough testing, and that could have been foreseen (anger beyond words)! Will advise he find a mask, or mail him a few (though I’m going to donate the few I have to a local hospital). He is still self-isolating for the most part. He’s a biologist, as am I and his mom, so we know some things about antibodies, natural selection, population growth, etc. He comments he is still appalled by the people out in the city and no distancing.
In many healthcare systems, they are wearing simple (surgical-type) masks of various grades (best available) over the multi-day N95s to protect the N95s.
Mask-sewer volunteers: be aware there is also a need for headbands with medium-large buttons on the sides to hold mask ties (headbands worn obliquely, not across the forehead, so they tangent close to the ears, and wide enough to distribute pressure, and not too tight — headaches). Healthcare professionals — so likely grocers and others, too — are getting painful pressure injuries on their ears from prolonged mask wearing. This project might require more individualization / sizing and trouble-shooting for fit, comfort, washing safety, etc.
You’ll not hear carping about this as N95s are essential parts of desperately needed protection, but wearing N95s for XX hours/day x _____ ( – days off for those who still have them) has its own consequences. Besides pressure injuries/wounds from the masks (and other PPE) as shown in e.g. photos of South Korean and Italian medical folks, they get acne (bad because that means skin commensal colonies are pissed — not the best immune system sign, but neither is broken skin), headaches, and a snoot full of poor quality air (+CO2, -O2 relative to room air). Studies show that after even one hour, the dead-air space held in the N95s does not meet OSHA standards for air quality*. Etc.
But that is the least of anyone’s concerns right now, there is too much else to focus on. I mention things like these, though, as they also drain folks’ reserves. Even the act of re-wearing disposables is stressful, going against every fiber of their safety- and standards- oriented beings. Yet again, that is among the least of the worries and ethical challenges — many more to come, and most all forced by our president.
It’s bad, as I am told, not even at or leaving the peak.
Thanks to all who are ‘out there’ and to everyone else for staying home.
—
*[In another world, I’d love to see pre- / post- test ABGs on our medical corps: they did that during SARS (or maybe MERS) for e.g. renal dialysis patients who had to wear N95s for four hours at a time during in-facility treatment; the 4h results were not good, but that’s also a vulnerable subpopulation, with a poorer baseline.]
Re: headbands. Perhaps a strip of Velcro could be sewn on one side (side away from the head), stoping about 1-1/2 inches short on each end. Then the matching half of the Velcro could be sewn on each , so the ends would loop around the elastic on the mask and then be fastened at whatever length is comfortable. Headbands could be made in three or four sizes, and users could adjust them as needed. Eliminates buttons, which can come off and are not adjustable. I don’t know how well Velcro would stand up to the kind and frequency of washing that’s needed, but I’m pretty sure it would be better than buttons.
IIRC, on a previous post, Rayne said velcro may not be suitable due to its tendency for particles to adhere to it. It could attract exactly what should be repelled. So, maybe not a good idea.
Good point. I missed that.
I’m for whatever works to make their lives better. People had mentioned using/ making them with buttons, but now that you bring up alternatives, one could even maybe* tie the mask directly to a narrowed part of the headband, eliminating extra materials — and their attendant wear and harboring risks — entirely.
ETA: Hi, SL, we overlapped: yes, I seem to recall Rayne having raised that issue, too.
*still thinking out lever/fulcrum issues with this option. Would need testing.
Thinking about it some more, maybe surgical caps with stich-reinforced slits cut in them by the ears could work for a place to tie to without yanking the whole think off / hair slide issues if tied to a section-narrowed headband (which may _not_ be an issue, it just might work, and would be simple to pattern out). (Yes, some head heat issues with a full cap, but they have to wear head protection anyway. But then there are all sorts of folks wearing masks around town/at work in stores who may not wish to add a cap…)… Anyway, I had just taken what folks mentioned using at face value without problematizing it, so am thinking aloud a bit here.
Reposting this link and encouraging you to forward to every front line medical worker who is running out of N95 masks. (A single N95 mask for a year is just a ridiculous ask, as I am sure most everyone knows).
Personal Protective Equipment video by Boston Children’s Hospital,
Health care workers can make their own REUSUABLE respirator mask if N95 shortage continues. Cost of materials is $3 per mask. Most hospitals already have these materials on hand:
https://www.youtube.com/watch?v=Es_iY5WJdmI
Thanks so much for this, I missed it until now because the video didn’t catch my eye until I read the comments from the front page, so to speak. Very helpful.
Great. I just hope someone shows the link to these nurses.
I’d really like somebody to copy that and tweak it a bit, make a face piece which is a little less bulky which can be 3D printed. Also need some means to test masks at hospitals before use.
Keep ’em coming, pdaly. Thanks much.
3D components info:
https://www.fda.gov/medical-devices/3d-printing-medical-devices/faqs-3d-printing-medical-devices-accessories-components-and-parts-during-covid-19-pandemic
Thanks for that. It’s a lot of ass-covering in a time of crisis. We don’t have time to wait for the FDA to approve stuff; I swear I read within the last 24 hours that we lost 51 health care workers in New York between Thursday and Friday.
This is a copy of my comment from the previous thread.
Here’s Trump’s emergency declaration [???]:
https://www.whitehouse.gov/briefings-statements/president-donald-j-trump-approves-michigans-disaster-declaration/
…dated and “issued”, and posted today, it begins:
It has NOT been listed on FEMA’s “News Releases” page yet:
https://www.fema.gov/coronavirus
Joe Berkowitz on Twitter: 9:56 AM · Mar 27, 2020
https://twitter.com/JoelBerkowitz/status/1243537482270085129
My 12 year-old while out on a walk: “At least with all the schools closed, there won’t be any school shootings for awhile.”
MASSACHUSETTS
In state’s intense chase for protective equipment, coronavirus isn’t the only rival — the feds are, too
https://www.bostonglobe.com/2020/03/27/nation/states-intense-chase-protective-equipment-coronavirus-isnt-only-rival/
Updated March 27, 2020, 6:29 p.m.
Thank you for these posts. Very informative.
Via Quinta Jurecic:
https://twitter.com/marty_lederman/status/1243920920592420865
11:20 AM · Mar 28, 2020
Contagion and the Right to Travel
https://blog.harvardlawreview.org/contagion-and-the-right-to-travel/
Anthony Michael Kreis MARCH 27, 2020
1] https://twitter.com/kaitlancollins/status/1243944953719525376
12:56 PM · Mar 28, 2020
2] https://twitter.com/JonLemire/status/1243944206286180354
12:53 PM · Mar 28, 2020
Here’s Steve Vladick about Trump’s tweet:
https://twitter.com/steve_vladeck/status/1243955409939038210
1:37 PM · Mar 28, 2020
I guess IRONY might be one word for that…
Whitmer spoke with Pence:
https://twitter.com/GovWhitmer/status/1243947801765085186
1:07 PM · Mar 28, 2020
Is this a bad version of ‘good cop, bad cop’?
The Don is the heavy, Mike P the lighter touch?
Another threat to Michigan?
1] https://twitter.com/TheRickWilson/status/1243897033762766848
9:45 AM · Mar 28, 2020
aweisburd Retweeted
2] https://twitter.com/edbott/status/1243916602380152832
11:03 AM · Mar 28, 2020
Asking friends to share what they see in FB over the next week. Would love to know if they are going to do what they did in 2016 which resulted in massive undervote.
yep…and…speaking of 2016, take a look at this:
As Trump signals readiness to break with experts, his online base assails Fauci
https://www.washingtonpost.com/politics/as-trump-signals-readiness-to-break-with-experts-his-online-base-assails-fauci/2020/03/26/3802de14-6df6-11ea-aa80-c2470c6b2034_story.html
March 26, 2020 at 7:04 p.m. EDT
And of course the WH doesn’t need no steenking oversight, so even though it’s Raw Story, Salon picked it up after presumably vetting it:
https://www.salon.com/2020/03/28/trump-undercuts-oversight-for-coronavirus-bailouts-with-controversial-signing-statement_partner/
AOC and Katie P have already flamed the Administration for this, and frankly Nancy P needs to understand that until the GOP joins her in veto overrides and signing statement overrides, they’re all talk and no bite. No more deals because DJT will do what he wants anyhow and dare Congress to stop him.
Not just Blazing Saddles…
https://www.youtube.com/watch?v=XT8hE7_8BCY
Of course, Mr. President. Let us NOW rush to quarantine NYC and parts of NJ and CT for two weeks. Too many people from there might be sick AND travel to Florida. That would be bad for business, meaning the business of Trump’s clubs. As ridiculous as that sounds, that is how Trump explained his proposal during his chopper talk today. Even CNN called it, “Jaw dropping,” in part because he said nothing to the governors of CT, NJ, and NY beforehand.
Trump supposedly transferred management of his enterprises during his presidency to his two fail sons. Yet, he continues to manage the nation’s business as if his only concern is what’s good for Trump’s business.
Trump has no conception of “public health” or public service. He doesn’t give a shit about the consequences of his reckless and self-centered acts. He cares only about the health of his pocketbook. The man-child is seriously ill. More ill, still, is the GOP that refuses to call “foul” on his behavior.
And the people who excuse his behavior, or pretend he’s even minimally capable of being president. (Plus the media people who edit his ramblings to say something moderately sensible, when they don’t know what he meant, either.)
And NOW, from 25 minutes ago:
https://twitter.com/realDonaldTrump/status/1244056534583312384
8:19 PM · Mar 28, 2020
That’s not going to make a difference – it’s into community spread. Lockdown is about all that will help, and that requires everyone to do it.
It’s not about ANYTHING but the spin:
https://twitter.com/jayrosen_nyu/status/1244051198107418624
7:58 PM · Mar 28, 2020
Links to:
Trump Chooses Disaster as His Re-Election Strategy
It’s a massive bet that political polarization is a more powerful force than the virus’s body count.
[NYT link]
Charlie Warzel March 27, 2020
Yep. It’s about the spin, controlling the news cycle, and owning the liberals. Trumps means nothing that he says. After the fact, his feral survival sense tells him whether continuing with it is immediately good or bad for him.
It’s awkward behavior for a guy so thin-skinned, he can’t bear to be wrong about the slightest thing. His solution seems to be to fudge and throw enough banana peels around that someone else is bound to slip on them. Then he blames them. That assignment of blame is a lie, too, but it’s a more important lie than the original. Wash, rinse, repeat.
Google: +coronavirus “deep state”
Scroll down far enough and you’ll soon be able to learn about the medical deep state.
Scroll farther you’ll see openings to dark places that too many citizens are likely embracing.
(I know this isn’t a novel suggestion.)
FLORIDA/DeSANTIS
Florida governor blocks Miami Herald, Tampa Bay Times from coronavirus press conference
https://www.miamiherald.com/news/politics-government/state-politics/article241591161.html
MARCH 28, 2020 06:18 PM
https://twitter.com/JesseLehrich/status/1244053944554401800
8:09 PM · Mar 28, 2020
https://twitter.com/travisakers/status/1243990179557359616
3:55 PM · Mar 28, 2020
LOL I must have been messing with my photo embed when you put this one up.
Having the photo there is much better!
Meanwhile, at the Duval-St. Johns county line in Florida this afternoon at 3:00 p.m.:

(Photo credit: Clay Archer, Jacksonville Beach resident. Picture captured from his balcony with a 100-400GM with 1.6 extender)
ADDER: My mental clock runs the tick-tock on these stupid beachgoing assholes —
5 days from today (April 2) for symptoms to appear among those exposed and infected today;
10-14 days (April 6-10) to illness requiring treatment;
21 days (April 17) if exposed+infected+asymptomatic/mildly ill to end of contagious period;
28-35 days (April 24-May 1) clear of all active virus and virus particles.
So much for a healthy, beautiful Easter, Trumpkins.
You can see the Duval enforcement on their ATVs.
The ridiculously stupid people that you see in sci-fi movies aren’t anywhere NEAR this ridiculously stupid.
“A Deepness in the Sky” by Vernor Vinge. They’re not people, but the spiders partying at Calorica Bay just before the dark are exactly that ridiculous.
Editors spike stuff this obvious. “Nobody would be that stupid. Come on, re-write this.”
Clearly we need to rethink our entire SFF genre. On the other hand, if we publish fiction with characters this stupid, will real life’s stupid people take it as encouragement to be even more ridiculously ignorant?
Trump’s proven there’s no bottom so far, after all.
https://twitter.com/MiamiHerald/status/1244043090010214407
7:26 PM · Mar 28, 2020
https://twitter.com/kylegriffin1/status/1243976148217929730
3:00 PM · Mar 28, 2020
Coronavirus Update: Florida Sets Up Second Highway Checkpoint To Screen New York Motorists
https://miami.cbslocal.com/2020/03/28/coronavirus-update-florida-sets-up-second-highway-checkpoint-to-screen-new-york-motorists/
March 28, 2020 at 6:51 pm
DeSantis seems to want his state to die.
As if Florida had no homegrown disease carriers, mass shooters and gun nuts, corrupt politicians, or fabulously crooked property developers and club owners.
I think it has more to do with the climate down there. After all, a mind is a terrible thing to baste.
Churches that run large services even though they’re in an area restricting groups to 10 or fewer, with distancing.
I think Ron DeSantis needs another pair of knee pads. He’s worn out this one creating a frankenpolicy only Donald Trump could find beautiful.
Linked at one of the links above, best C-19 song yet:
ht tps://twitter.com/ChattJazz/status/1243999886292463618
Is anyone compiling the number of tests localities are claiming to have made in the US? Have we made any progress at all beyond testing VIPs, those with serious conditions and some random number of healthcare workers? Is it too late to really matter?
I know in Harris County (Houston) they managed to test 1250 this past week via drive-throughs…in a county of 7 million so basically nothing.
At least anecdotally there appears to be significant community spread in much warmer areas of the US like LA, Houston, NOLA…but how do we know without knowing how many are being tested compared to NYC, Detroit etc ?
Also, curious to about the reported reinfection incidents in Wuhan…
NM Health Department publishes daily test numbers. Just short of 11,000 tests have been conducted with 208 found positive. That doesn’t account for Tribal Lands, where testing is by Indian Health Service. For a small population state such as ours, the test effort has been impressively implemented and scaled up quickly. There are about 24 test locations statewide initially focused on denser population areas, and the governor has directed establishing test stations in all of 33 counties. There is screening to qualify for tests, symptoms.
As far as I know, there hasn’t yet been any kind of randomized general population testing or survey that could help establish how many asymptomatic cases are about. The problem with inadequate resources. My son, in AZ, had all the symptoms and was quite ill and received one test result negative. As he described the swab sample was fumbling. Aftermath issues they haven’t yet tested him again, but now seem ready to after a week of diminished lung function.
EW just tweeted this site, https://www.cnbc.com/2020/03/29/coronavirus-heres-a-map-of-rural-counties-in-us-most-affected-by-pandemic.html
Has state by state data on tests/10,000 pop. Useful!
Ty
FEBRUARY 7, 2020
The United States Announces Assistance To Combat the Novel Coronavirus
https://www.state.gov/the-united-states-announces-assistance-to-combat-the-novel-coronavirus/
MICHAEL R. POMPEO, SECRETARY OF STATE
FEBRUARY 7, 2020
Pompeo posted this VIDEO on twitter:
https://twitter.com/SecPompeo/status/1225836989393534976
12:41 PM · Feb 7, 2020
Eric Garland [Sorry, but they’re HIS caps]
https://twitter.com/ericgarland/status/1244052440405737472
8:03 PM · Mar 28, 2020
January 23, 2020 ADAM SCHIFF
https://twitter.com/RepAdamSchiff/status/1220559375938609152
11:10 PM · Jan 23, 2020 [VIDEO]
FEBRUARY 5, 2020 Senator Chris Murphy
https://twitter.com/ChrisMurphyCT/status/1225073987639705600
10:09 AM · Feb 5, 2020
Just left the Administration briefing on Coronavirus. Bottom line: they aren’t taking this seriously enough
Notably, no request for ANY emergency funding, which is a big mistake. Local health systems need supplies, training, screening staff etc. And they need it now.
That should be blockquoted from “Just left” to the end.
ALSO FEBRUARY 5, 2020
The Senate votes to ACQUIT TRUMP.
More on February 5, 2020
https://twitter.com/Zac_Petkanas/status/1244270692780171264
10:30 AM · Mar 29, 2020
From the article:
MORE from FEBRUARY 7, 2020
https://www.empty.runengine.com/2020/03/17/three-things-even-more-family-fun-with-covid-19/#comment-833426
Yeah, that large-sounding donation made no sense at the time, especially since those supplies are rather light-weight, so 17+ tons is A LOT. I remember thinking we’d need that, but perhaps it implied that we had an overlarge stockpile. Anyway — before the full murder plot was revealed — it seemed like an ‘ill-advised’ move. Excess on the largesse.
But then post-Senate-acquittal, didn’t Murkowski get some pork with Chao connections?
(Also, I’d figured the weight # was inflated by the heft of the shipping containers, because Trump.)
MIT comes up with plans for an emergency ventilator (‘e-vent”) that costs $100.
https://e-vent.mit.edu
I really do hope these work, but the critical care docs that I know who have seen this idea have said that it’s not going to be fine-tuned enough for their really sick patients, and these would only go to the sickest of the sick–basically the ones triaged as “untreatable”. There’s an argument to be made that if you have twenty patients on these, and even one of them survives, then you did better than doing nothing. But remember that it’s going to take a lot of people to take care of these twenty patients, so you’re still pulling resources away from other patients. Ventilators are only one of the many things that can ultimately end up being what determines the “ceiling” in terms of how many patients we can treat at once.
Stevedore Waterboy says: Reposting here with Rayne’s good guidance. “bunmitigated disaster” was a typo – “unmitigated” is the word – I was going back correct but then I just said “Phuket”
Rayne, thanks again for your guidance.
March 29, 2020 at 10:52 am
PPE National Emergency Stockpile – Thailand (?)
USAID has long been a part of our government. But at this dark time National Stockpile to foreign aid? In March 2020? Two Shipments?
Long-time reader, first time posting (on any comment board). Offering my apologies for no profiency in cleaning up links. Off to study tracker removal 101 and will do better.
Possibly you’re aware of Trump Administration’s USAID of PPE Equipment and $62M* to Thailand: https://www.usaid.gov/asia-regional/press-releases/mar-9-2020-us-provides-personal-protective-equipment-royal-thai-covid-19
*$100M is mentioned by USAID, but with all things Trump, who knows?
Trump Org. Presence in Thailand in about 2008 presser multi-mix development in Bangkok.
Rayne’s past posts about “cash cow” golf and laundrymats was prescient. http://www.phuketvillasandhomes.com/news_226.html
I appreciate the valuable service you provide. Everyone associated with Emptywheel during our suffering from the bunmitigated disaster of the Trump MalAdministration.
Safe health wishes to all of you, your families, friends, and every living presence in America.
Reply
Stevedore Waterboy says:
March 29, 2020 at 11:13 am
My apologies. I commented on the wrong post by Rayne.
Reply
Rayne says:
March 29, 2020 at 11:38 am
It’s all right. Why don’t you post that comment to the latest thread at this link because JEEPERS, a Trump property in Thailand??
Tells us the Trump family is making the calls on where supplies are routed.
Thanks for de-lurking and sharing, your comment is very helpful.
Oh, the corruption.
DIY face mask, in three sizes: https://www.instructables.com/id/DIY-Cloth-Face-Mask/
(These are contoured, not pleated. Large, regular, and kid sized.)
Trump just suggested at today’s presser that reporters should check into where all those hundreds of thousands of medical masks are going. He said he doubts that hospitals are really using as many as masks as they claim and that maybe the masks “are going out the back door.” So now he’s stooped to blaming frontline healthcare providers for his own failings.
He’s trying to pass the blame because (a) he doesn’t understand how anything works in the world outside his head, and (b) he can never be wrong about anything, even if it requires making a 180 every five minutes.
Plus it’s a distraction and puts him in the victim role of the poor, put-upon President, being taken advantage of by a bunch of conniving nurses.
*snort* Who would be obliged to provide him care, even if they’d prefer to do otherwise.
I tuned in late.
I don’t know what the question was but Trump was in the middle of describing expression and suicides and drug addiction and obesity and whatever the fuck else was falling off the long derailed track that runs from his brain to his mouth.
Then he went on to trash CNN and I turned it off,
What a POS.
I have never been a big Cuomo fan but i find myself watching at least part of his briefings almost daily and it reminds me of what government is for. Cuomo appears to be listening, comprehending the implications long and short term, strategizing with people smarter than him and then using his power to get shit done
We have to stop allowing Trump to entertain us. We have to make peace with family friends and neighbors that we have allowed to fade away because of political differences (aka trump) we have to pull together and our leaders must do the same. Many of them are.
To put it mildly, Trump is useless in this situation. If he won’t get out of the way willingly, we simply have to ignore him and turn to the proven leaders for support and guidance.
L.A. last Friday afternoon, near downtown:
https://www.sfgate.com/coronavirus/article/la-covid19-cases-by-neighborhood-area-15164730.php
Traffic in my area is about a quarter to a third of normal – on major streets.
The funny thing is, I almost want to drive over so I can do a high speed run on the 405 or 1. The kind I have not done since the late 70’s and in the early morning. Traveling back to Santa Monica from Seal Beach, or back from Santa Barbara/Goleta, in the middle of the night back then, you could actually make some time.
And I, I wanna do a Alliota, Haynes and Jeremiah …
https://www.youtube.com/watch?v=OZsiHJ8taWE
(Fun fact: I dated a Ted Alliota ex some in the early 90’s, pretty girl of Russian descent …)
The normally very congested Garden State Parkway in New Jersey has become a race track. There is very little traffic. All toll booths are now EZ Pass or bill by mail. The State Police have cars at all the usual speed traps but no one gets pulled over.
Politico:
https://twitter.com/ddiamond/status/1244415289594445825
8:04 PM · Mar 29, 2020
Cheryl Rofer reacts:
https://twitter.com/CherylRofer/status/1244476306856620033
12:07 AM · Mar 30, 2020
Cheryl is right.
Yup. Given that there are so many COVID-19 cases right now, this is the perfect time to do a multi-site randomized controlled double-blind trial. You could have results in under two months, and trials like this are designed to have “stopping points” if it becomes clear that the drug is effective before you get to the end of the study.
Kate Brannen Retweeted
https://twitter.com/ksieff/status/1244447084041863178
10:11 PM · Mar 29, 2020
TEXAS [where the Governor has not imposed statewide shelter in place restrictions]
https://twitter.com/alfonslopeztena/status/1244445014568157185
10:03 PM · Mar 29, 2020
And, in today’s O/Ther news,
[EU member] Hungary goes FULL ON FASCIST:
https://twitter.com/balazscseko/status/1244612142831198209
9:07 AM · Mar 30, 2020
So basically COVID-19 = Hungary’s Reichstag fire. So predictable Orbán is.
Just an observation … On the one hand, the authorities are asking us to limit our outings in the community and online articles encourage people to shop for two weeks at a time when they go to the grocery store. On the other hand, those same grocery stores are placing limits on the number of items shoppers can buy–for example, no more than two packages of meat, two cartons of eggs, two bags of frozen veggies, at least in my local stores–which would seem to prevent people from stocking up on two weeks’ worth of groceries and increase the chances they’ll be back at the grocery store in a day or so, or make multiple trips to other grocery stores.
The one I go to limits cleaning and paper products – which they were still out of, Saturday morning – but not the rest. Of course, that assumes they have what you want (they were out of pizza, most frozen snacks, PB, the less-expensive sliced cheeses, etc).
One thing there’s no shortage of is those packages of lunchable-type snacks that lots of kids take to school for lunch.
Another thing I’ve noticed in going to the bank and the grocery store today is that the tellers and cashiers are a lot more brisk and business-like. The unspoken message they’re conveying is, “Do what you have to do and get outta here!” This is hard on the sort of folks for him a brief chat with a cashier or passing the time of day with a bank teller is the social high point of their day … or week.
The limits are partly to prevent hoarding, partly to serve the largest number of customers. It’s on us to rethink how we consume.
I should write something about this because it’s going to be a crisis throughout the next year. We will not produce food at former levels, nor can we expect to buy the shortfall from overseas. What will we do NOW to change our consumption?
I recommend replacing animal products with vegetable products sooner rather than later.

“Leadership: Whatever happens, you’re responsible. If it doesn’t happen, you’re responsible.”
— Donald J. Trump November 8, 2013